まり歯科
〒892-0842
鹿児島県鹿児島市東千石町10-14 danken COFFEE 2F
TEL/FAX
![]()
駐車場サービス券
●天文館いわさきパーキング
●セイワパーク天文館
健康できれいな歯を取り戻しましょう。
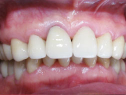
【健康保険外治療】
天然歯とほとんど見分けがつかない程きれいにできます。変色もありません。
![]() 保険の差し歯 |
|
![]() オールセラミックの差し歯 |
|---|---|---|
![]() |
|
![]() |
|---|---|---|
![]() |
|
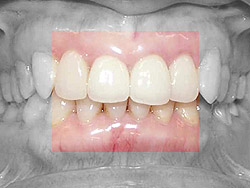
咬み合わせがすり減り低くなっていて、下の前歯が見えませんでしたが 咬み合わせを上げてポーセレン冠を装着し、きれいな口元になりました。 |
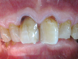
冠、インレーの金属の色が気になる方が自然な美しさを取り戻します。
ゴールドインレー |
|
白い歯に変わりました |
|---|
歯牙の表面を少し削って、セラミックのシェルを貼り付ける方法です。
中切歯:メタルボンド側切歯:矮小歯 |
|
中切歯:明るく透明感が出ました。側切歯:綺麗な大きさになり、貧弱な感が一掃されました。 |
|---|

セラミックスとプラスティックを複合した新素材で、天然歯に近い色調を表現できます。
|
|
|
|---|
|
|
|
|---|